Case Study
Full Upper Arch Aesthetic Rehabilitation
Gingival surgery, digital smile design, and 10 upper veneers
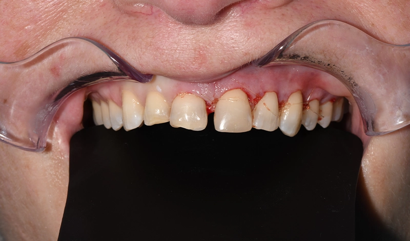
Initial presentation
When Deborah came in, she had concerns about the appearance of her upper front teeth. They had become worn down over time, making them shorter and uneven along the edges, and they also appeared discoloured. There was also a noticeable gap between her two front teeth (called a diastema), which affected the overall balance of her smile and made the centre line of her teeth appear slightly off.
Deborah expressed a desire for a more refined, symmetrical, and youthful smile while maintaining a natural appearance.
Clinical assessment and diagnosis
A detailed examination showed several factors affecting Deborah’s smile:
- Generalised wear across the edges of the upper front teeth
- Loss of natural tooth length affecting proportion and smile curvature
- Spacing between the central incisors (midline diastema)
- Uneven gum levels, contributing to disharmony in tooth display
- Discolouration that didn’t match the surrounding teeth
Together, the wear on the teeth and the imbalance in the gums meant a carefully planned, step-by-step approach was needed to restore both function and appearance.
Treatment planning and aesthetic design strategy
The treatment plan focused on improving gum symmetry and tooth proportions before moving on to definitive restorative work.
Key objectives included:
- Creating even gum levels through gingival surgery
- Designing ideal tooth proportions aligned with facial and smile aesthetics
- Closing the diastema while maintaining a natural gumline shape
- Restoring worn and shortened teeth using minimally invasive ceramic veneers
- Achieving uniform shade, shape, and contour across the upper arch
Digital smile design principles were used to preview and guide the intended outcome before any irreversible procedures.
Treatment planning and aesthetic design strategy
The treatment plan focused on improving gum symmetry and tooth proportions before moving on to definitive restorative work.
Key objectives included:
- Creating even gum levels through gingival surgery
- Designing ideal tooth proportions aligned with facial and smile aesthetics
- Closing the diastema while maintaining a natural gumline shape
- Restoring worn and shortened teeth using minimally invasive ceramic veneers
- Achieving uniform shade, shape, and contour across the upper arch
Digital smile design principles were used to preview and guide the intended outcome before any irreversible procedures.
Gingival surgery phase
The first phase involved periodontal contouring (also called gum reshaping) to optimise the soft tissue framework.
Gingival surgery was performed to:
- Correct asymmetry in the gum line
- Harmonise tooth-to-gum ratios
- Create ideal biological architecture for veneer placement
This step was essential in ensuring that the final restorations would not appear artificially elongated or disproportionate. Healing was monitored to confirm stable tissue response and predictable contouring.
Digital smile design
Once the gums had healed, a digital workflow was used to refine the restorative outcome.
Using Exocad 3D modelling, the following were established:
- Ideal tooth length and width proportions
- Closure of the midline diastema within aesthetic limits
- Harmonisation of incisal edge curvature
- Symmetry across the upper anterior segment
- Final veneer contour and emergence profile design
This digital phase allowed precise visualisation of the final outcome and ensured alignment between clinical execution and aesthetic intent.
Veneer fabrication and material selection
Ten upper veneers were fabricated based on the approved digital design.
The restorations were designed to:
- Replace worn enamel structure
- Re-establish correct anterior guidance and proportions
- Blend seamlessly with adjacent teeth in colour and translucency
- Maintain strength while achieving a natural optical appearance
Veneer placement and final integration
After try-in and confirmation of fit, aesthetics, and occlusion, the veneers were permanently bonded.
The placement process included:
- Careful isolation and surface preparation
- Adhesive bonding protocol for long-term retention
- Incremental placement to ensure precise alignment
- Final contouring and polishing for natural light reflection
Careful attention was given to the shape of the tooth edges, the alignment of the centre line, and how the teeth meet the gums, ensuring a seamless transition between restorations and soft tissue.
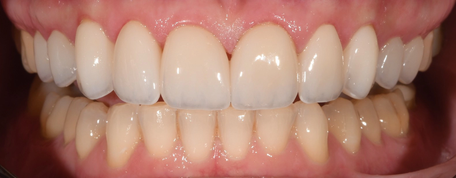
Final outcome
The completed rehabilitation achieved a significant transformation in both smile aesthetics and dental proportion.
Key outcomes included:
- Restoration of optimal tooth length and symmetry
- Closure of diastema with balanced midline alignment
- Improved colour uniformity and brightness
- Harmonised gingival contours supporting aesthetic balance
- A natural-looking smile that maintained individuality while enhancing overall appearance
Clinical summary
This case highlights the importance of combining gingival surgery, digital smile design, and ceramic veneer restoration in addressing complex aesthetic concerns involving both hard and soft tissues.
By sequencing treatment in a structured and digitally guided manner, it was possible to achieve a stable, functional, and visually balanced outcome that respects natural tooth anatomy while enhancing overall smile aesthetics.
* Clinical results are patient-specific and may vary based on individual anatomy, oral health, and unique treatment requirements. A comprehensive consultation is necessary to determine the personalised treatment strategy best suited to your needs.
Deborah’s Full Upper Arch Aesthetic Rehabilitation
Gingival surgery, digital smile design, and 10 upper veneers


